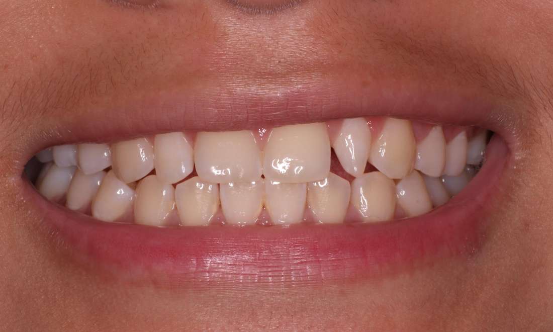
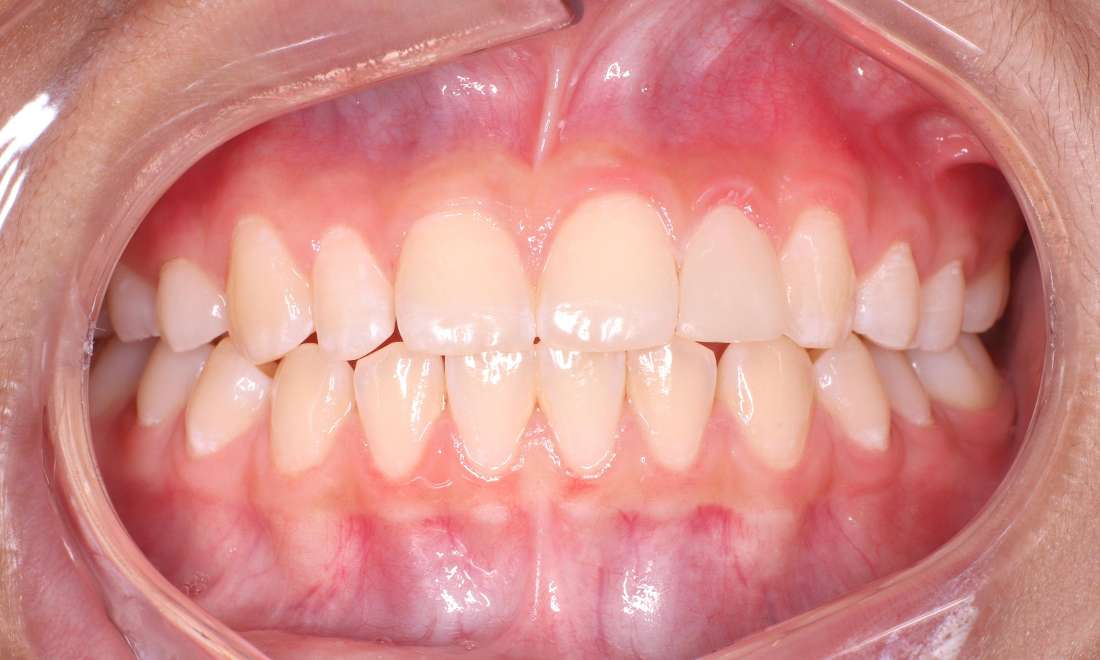
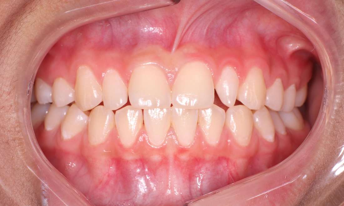
This patient's lateral incisors appeared small and misshapen, resembling a peg. The tooth's shape was visibly different from the adjacent teeth, creating a noticeable asymmetry in the smile.
Our Blacktown dentists used composite bonding to significantly improve the tooth's appearance. The tooth was reshaped and resized to match the shape and size of the adjacent teeth, creating a more symmetrical and aesthetically pleasing smile. The composite material used in the procedure was carefully colour-matched to the patient's natural teeth, creating a seamless blend between the restored tooth and the surrounding teeth.
