Smile Gallery
The Peak Dental Care team are always excited to share the happy smiles we are privileged to have a hand in creating.
We encourage you to explore our before and after pictures to see our results with your own eyes.
*The images shown in our Smile Gallery are examples of dental treatments provided at our practice. Individual results will vary depending on each patient’s dental needs and circumstances.
*The images shown in our Smile Gallery are examples of dental treatments provided at our practice. Individual results will vary depending on each patient's dental needs and circumstances.
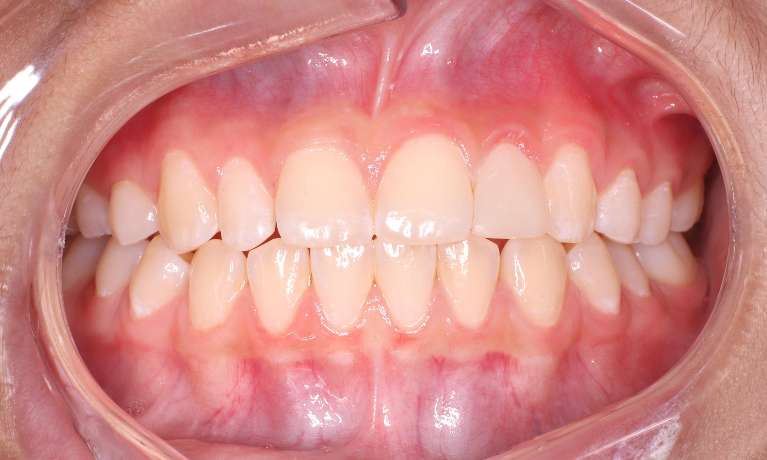
One of our patients wanted to straighten their teeth but wasn’t keen on traditional metal braces. We recommended Invisalign, which uses clear aligners to move the teeth into place gradually. They loved the discreet look and the ability to remove the aligners while eating and brushing, making the process incredibly convenient. By the end of their treatment, they achieved a beautifully aligned smile without the hassle of metal brackets and wires.
We Welcome Your Call
Ready to transform your smile with Invisalign in Blacktown, NSW? We invite you to book your consultation today!
Do you have a missing tooth like this patient did? With our help, this patient was elated to discover a renewed smile with dental implants in Blacktown, NSW.
This patient was unhappy with the appearance of their smile because their front tooth was missing. This missing tooth made it difficult for them to speak clearly and confidently smile. This patient feels more confident and comfortable with their smile than ever!
Dental Implants in Blacktown, NSW
Are you tired of dealing with gaps in your smile? Dental implants are a revolutionary solution for missing teeth because they permanently provide a stable foundation for ...
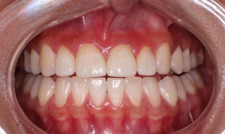
Say goodbye to stains and hello to a brighter you! Teeth whitening is one of the simplest and most effective ways to brighten your smile. Our cosmetic dentists in Blacktown, NSW, customise professional teeth whitening treatments to ensure you achieve the radiant smile you desire. This patient wanted to lighten their beautiful smile with teeth whitening, so we used in-chair Philips Zoom® whitening to help them achieve their goals. They were thrilled with the results!
Teeth Whitening in Blacktown, NSW
Are you interested in transforming your smile with our whitening services? We invite you to book your teeth whitening session today!
Ceramic veneers are popular for those looking to dramatically enhance their smiles. These custom-made shells cover the front surfaces of teeth, effectively masking imperfections such as chips, gaps and discolouration. With a natural appearance and a stain-resistant finish, ceramic veneers provide a lasting solution that can elevate one’s smile and confidence. This patient was unhappy with the appearance of their smile, but after the procedure, they loved their new look!
Ceramic Veneers in Blacktown, NSW
Ready to discover how veneers can improve your smile? We invite you to book a consultation.
When this patient came to us with a missing tooth, they worried about how it affected their smile and ability to chew comfortably. After a consultation with the dentist, we decided to pair our high-quality dental crowns with a dental bridge to replace the gaps in their smile. Now, this patient is thrilled with their new smile, and they report feeling more confident in their interactions with others. Plus, they can chew and speak with more ease!
Need Crowns and Bridges in Blacktown, NSW?
We invite you to enhance your smile today with crowns and bridges. We welcome your call!
One of our patients came to us with a missing tooth and reported feeling self-conscious about their smile. We recommended a dental bridge to restore both function and aesthetics. Anchored to the surrounding teeth, the bridge provided a strong, reliable and natural-looking solution. After treatment, they could smile confidently and enjoy their favourite foods without discomfort.
Need a Dental Bridge in Blacktown, NSW?
We invite you to book your consultation at Peak Dental Care, conveniently located in Blacktown, NSW.
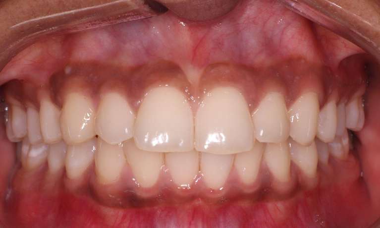
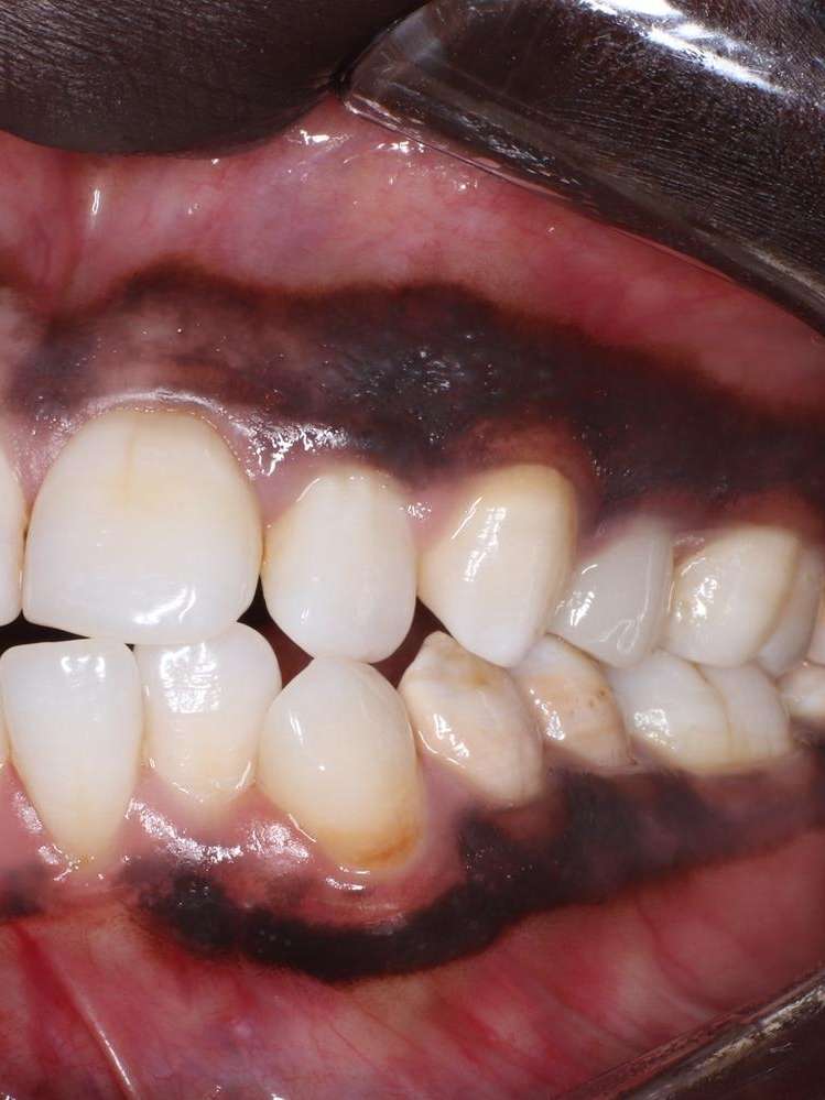
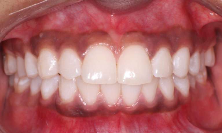
Our Blacktown dentists used a combination of composite veneers and full coverage crowns to cover the misshapen and darkened teeth to give a lovely outcome for our patient.
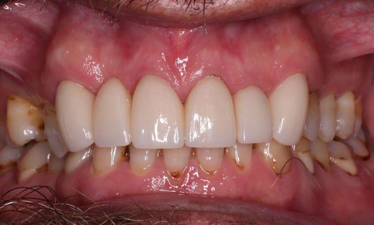
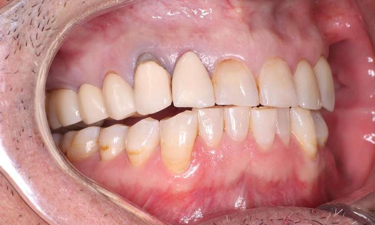
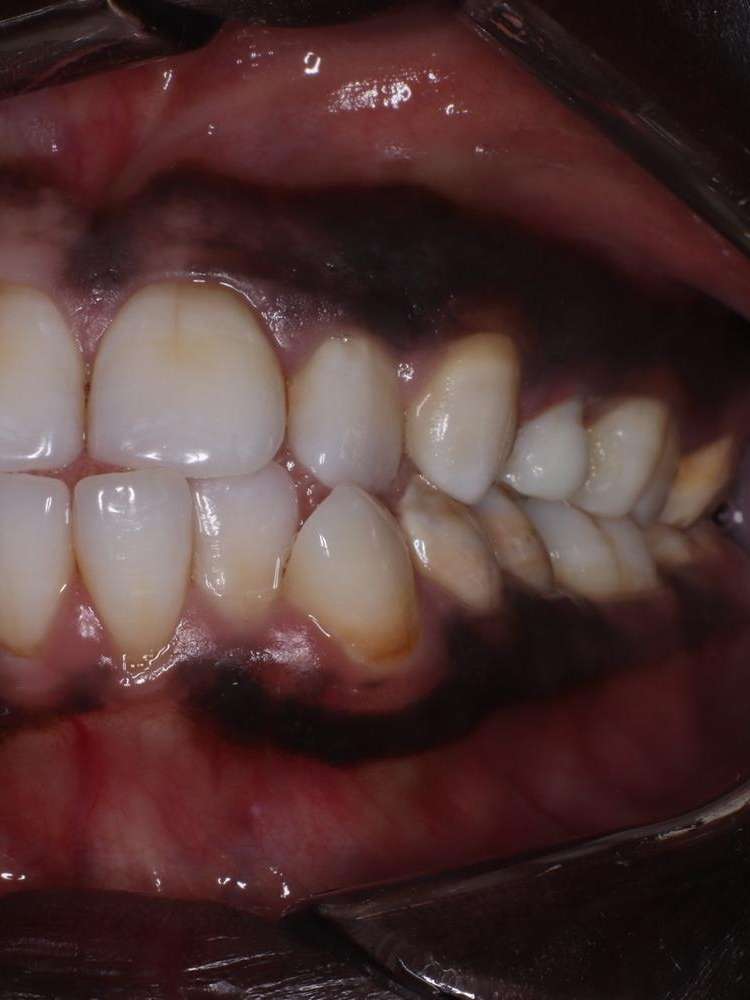
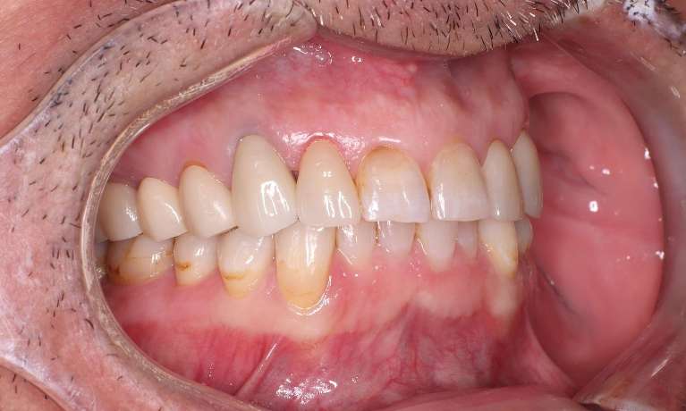
This Peak Dental Care patient's crowns were dated and worn. Our Blacktown dental team replaced the crowns on his two front teeth, resulting in improved colour, shape and natural appearance.
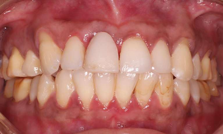
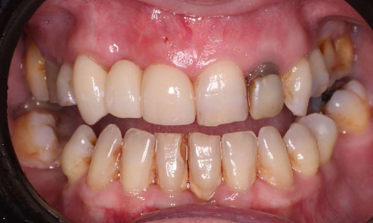
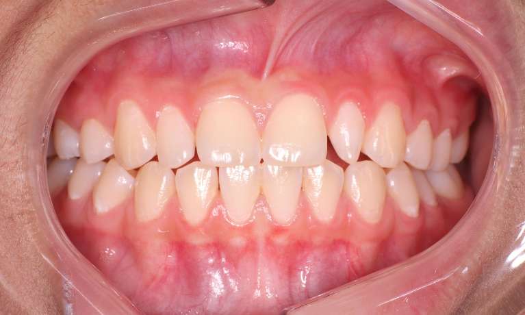
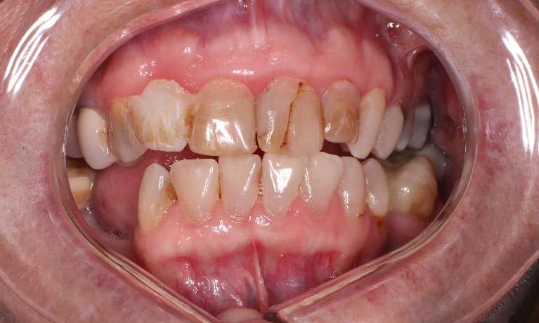
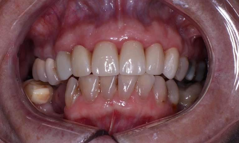
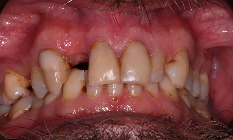
This Peak Dental Care patient presented with broken down and stained fillings on six of their front teeth, which caused some aesthetic concerns. Our Blacktown dentists addressed these concerns by providing the patient with a new smile using a set of crowns and a bridge for the patient's front teeth.
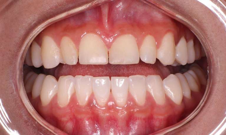
This patient's lateral incisors appeared small and misshapen, resembling a peg. The tooth's shape was visibly different from the adjacent teeth, creating a noticeable asymmetry in the smile.
Our Blacktown dentists used composite bonding to significantly improve the tooth's appearance. The tooth was reshaped and resized to match the shape and size of the adjacent teeth, creating a more symmetrical and aesthetically pleasing smile. The composite material used in the procedure was carefully colour-matched to the patient's natural teeth, creating a seamless blend between the restored tooth and the surrounding teeth.
