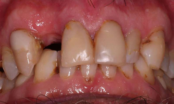
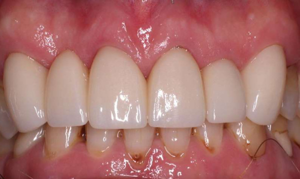
When this patient came to us with a missing tooth, they worried about how it affected their smile and ability to chew comfortably. After a consultation with the dentist, we decided to pair our high-quality dental crowns with a dental bridge to replace the gaps in their smile. Now, this patient is thrilled with their new smile, and they report feeling more confident in their interactions with others. Plus, they can chew and speak with more ease!
Need Crowns and Bridges in Blacktown, NSW?
We invite you to enhance your smile today with crowns and bridges. We welcome your call!
