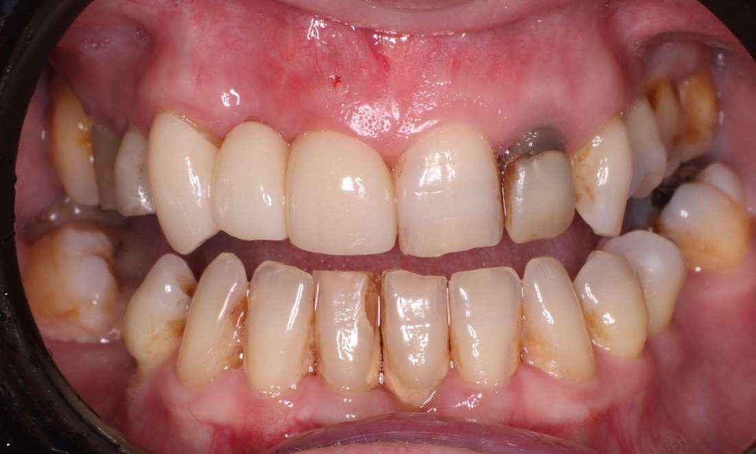
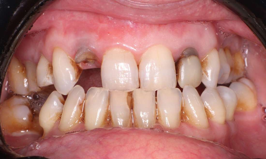
One of our patients came to us with a missing tooth and reported feeling self-conscious about their smile. We recommended a dental bridge to restore both function and aesthetics. Anchored to the surrounding teeth, the bridge provided a strong, reliable and natural-looking solution. After treatment, they could smile confidently and enjoy their favourite foods without discomfort.
Need a Dental Bridge in Blacktown, NSW?
We invite you to book your consultation at Peak Dental Care, conveniently located in Blacktown, NSW.
