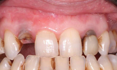
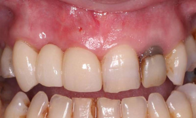
The Peak Dental Care team are always excited to share the happy smiles we are privileged to have a hand in creating.
We encourage you to explore our before and after pictures to see our results with your own eyes.
*The images shown in our Smile Gallery are examples of dental treatments provided at our practice. Individual results will vary depending on each patient’s dental needs and circumstances.
*The images shown in our Smile Gallery are examples of dental treatments provided at our practice. Individual results will vary depending on each patient's dental needs and circumstances.
Smile Gallery Categories
